打开应用

肾错构瘤的微创保肾治疗

丁医师   苏州大学附属第一医院
肾肿瘤 肾错构瘤 肾血管平滑肌脂肪瘤
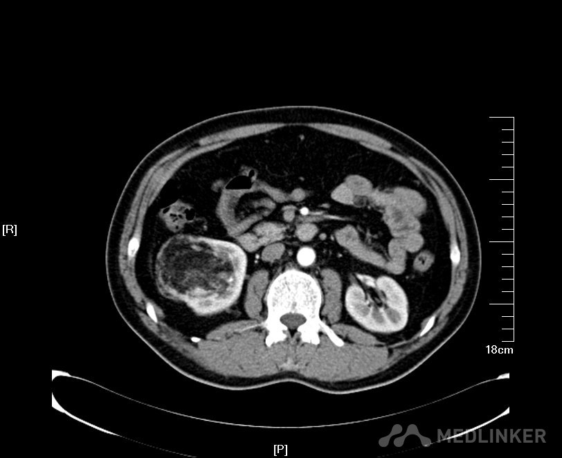
病例一 肾肿瘤患者(肿瘤大于4cm) 2016年02月手术患者,女,28岁,宜兴人,体检发现右肾占位5年,伴加重4月入院,患者5年前发现右肾错构瘤约2.0cm左右,每年于基层医院复查CT平扫检查,均未进行CT增强检查,肿瘤大小一直提示2.0cm左右,4月前单位体检B超发现右肾占位6.0cm左右,遂来我院复查彩色B超提示右肾上极高回声5.8*2.0cm,CT增强检查提示右肾肿瘤呈分叶状生长,突出肾脏表面约2.0cm左右,不排除肾癌可能;遂住院进一步治疗。术前GFR:左侧44.2ml/min,右侧51.3ml/min。术前诊断:右肾肿瘤;经讨论认为患者既往有右肾错构瘤良性肿瘤病史,近期肿瘤增大且呈现恶变倾向,考虑患者较为年轻,虽然肿瘤远大于4.0cm,为尽力争取保护其右肾,决定行腹腔镜下保留肾单位的右肾部分切除术。 我院彩色B超根据肿瘤血流情况判断肿瘤远非2.0cm,而是5.8*2.0cm左右

根据术前影像学检查术中精准定位右肾上极肿瘤

充分游离右肾动脉及分支,阻断血流,防止大出血的发生,降低输血几率

完整切除分叶状肿瘤

术中快速病理提示为右肾错构瘤

术中病理提示为良性肿瘤,肿瘤切缘及基底部反复烧灼,预防肿瘤短期复发

10分钟快速缝合右肾脏缺损面,减少热缺血时间,完美止血

术后病理提示为右肾错构瘤,部分细胞分化呈异型性,患者恢复良好,术后7天出院,门诊随访中。 2017年02月手术患者,男,47岁,河南人,体检发现右肾占位两周入院,患者两周前单位体检B超发现右肾占位6.5*5.5*5.0cm左右,遂来我院复查CT增强检查提示右肾见一较大脂肪密度占位,大小约5.7*6.5cm,实质部分见明显强化,脂肪未见强化,考虑AML;遂住院进一步治疗。术前诊断:右肾肿瘤;经讨论认为患者可能为右肾错构瘤良性肿瘤,鉴于患者较为年轻,争取保护其右肾,决定行腹腔镜下保留肾单位的右肾部分切除术。

沿下腔静脉寻及右肾蒂,充分游离右肾动脉

阻断右肾动脉及分支,防止切除肿瘤时大出血的发生

沿肿瘤包膜切除右肾肿瘤,在控制右肾动脉的情况下,创面出血不多,以渗血为主

完整切除肿瘤,发现肿瘤脂肪成分较多,快速病理提示符合右肾错构瘤改变

将深入肾实质的肿瘤切除,并仔细检查肾盂防止尿漏发生

夹闭肾段动脉,防止出血,并电凝肿瘤切面减少切缘阳性率的发生

可吸收线连续缝合残留肾脏创面,减少出血,促进肾功能的保护

缝合完毕后,开放右肾动脉,仔细检查创面渗血情况和缝合张力,必要时可加针缝合减少渗血

术后病理提示:右肾血管平滑肌脂肪瘤(即错构瘤)

经验总结:CT是目前判断肾脏肿瘤的最佳检查手段,但这里的CT指的是包括平扫+增强,也就是说不注射造影剂的平扫CT对于肾肿瘤的鉴别是远远不够的,这一点值得广大患者重视。 肾错构瘤是一种良性肿瘤,因为系由血管、平滑肌和脂肪构成,所以又称“平滑肌血管脂肪瘤”。部分错构瘤在形态学表现与肾癌极其相似,不易鉴别。血管平滑肌脂肪瘤中约有1%具有恶性肿瘤表现,临床上需要警惕这类情况。较大的错构瘤,可在一处或多处使肾盏受压变形、移位,影响尿液引流,进而可能对肾脏功能造成损害。另外,由于肿瘤组织内含有丰富的血管,容易出血,瘤内出血可能引发剧烈疼痛,如果向肾盏破裂,可以引起大量血尿,危及生命,需要尽早手术切除。
发布于 17-08-13 23:51

0 个评论

暂无评论
发送