下载或打开 医联APP 查看完整评论
立即下载
打开APP
打开应用
惊呆了!你可能未见过的片子。
李医师
南方医科大学南方医院
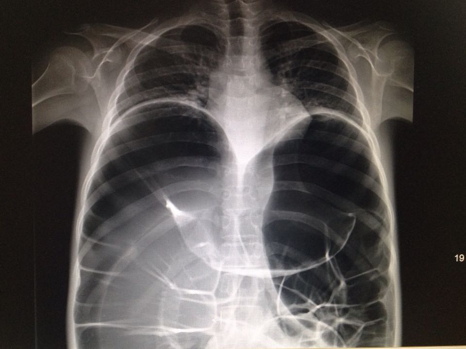
19岁男孩 间断腹痛2年 如图,猜猜什么病?
0
人已投票
不完全肠梗阻
肝癌
畸胎瘤
先天性巨结肠
克罗恩病
发布于 17-05-09 12:46
打开医联APP阅读全文
医联推荐你看
【揭秘】惊呆了!医生真实收入曝光……
惊呆了!为苦练技术,90后外科医生竟这么拼!
好容易赚了一点羽毛,一打开兑换,我惊呆了?
共
12
个评论
查看更多评论
发送
0