下载或打开 医联APP 查看完整评论
立即下载
打开APP
打开应用
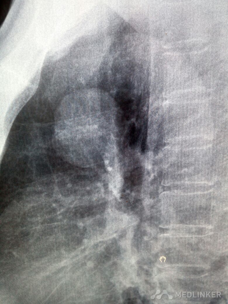
肺内错构瘤一例
朱医师
临邑县第二人民医院
患者体检时发现,手术,病理证实错构瘤
发布于 17-04-03 12:16
打开医联APP阅读全文
医联推荐你看
什么是错构瘤?
错构瘤
错构与虚构的区别很难
共
6
个评论
查看更多评论
发送
0