下载或打开 医联APP 查看完整评论
立即下载
打开APP
打开应用
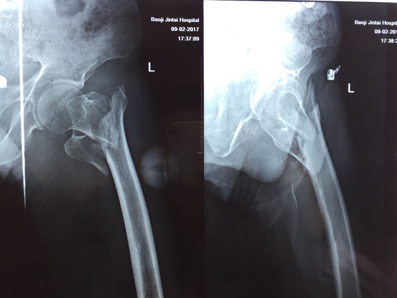
左股骨粗隆间骨折
马医师
宝鸡市金台医院
发布于 17-03-12 14:00
打开医联APP阅读全文
医联推荐你看
右股骨粗隆间骨折?
左股骨粗隆间骨折
股骨粗隆间骨折概论。
共
4
个评论
查看更多评论
发送
0