打开应用

最强考题第一期

王医师   天津市电力医院
脑梗死 瘫痪 痉挛性瘫痪
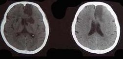
最强考题第一期: 每天4道题,医学轻松知,奖励不停拿,各位联友抓紧时间作答吧~ 【更题时间】周一、周三、周五 【活动须知】每周三期活动,每期活动推出4道最强考题,每道题1分,每周累计分数最多(最高12分)的联友即有机会获取奖励; 当分数相同者,根据二者的答题时间比较,即二者分数相同,较早时间回答的联友胜。 【活动奖励】第一名:50元红包奖励 第二名:30元红包奖励 第三名20元奖励 【获奖名单】每周获奖名单将在次周周一同步更新 第1题:颅内压增高致脑神经麻痹多见于() A.滑车神经 B.展神经 C.动眼神经 D.听神经 E.面神经 第2题:有关楔束,哪项说法正确() A.贯穿脊髓后索全长 B.传导同侧下肢浅感觉 C.传导对侧下肢本体觉 D.上升至同侧楔束核换元 E.以上都不对 第3题:右下肢痉挛性瘫痪,右瞳孔缩小,左侧胸、腹、下肢的痛、温觉及右侧精细触觉丧失 而双上肢正常,则病变部位可能在() A.延髓左侧半横断 B.延髓第1~4胸节右半横断 C.延髓第1~4颈节右半横断 D.延髓第5~8颈节右半横断 E.左侧大脑皮质 第4题:头颅CT出现如图所示脑梗死,该病灶最可能是下列哪条阻塞引起() A.大脑前动脉主干 B.颈内动脉主干 C.大脑中动脉主干 D.脉络膜前动脉 E.豆纹动脉

发布于 16-06-14 11:23

21 个评论

发送