下载或打开 医联APP 查看完整评论
立即下载
打开APP
打开应用
如何降低 胆囊结石漏诊率
马医师
复旦大学附属上海市第五人民医院
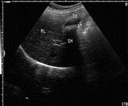
胆囊结石漏诊的原因: 胆囊颈部结石;特殊类型的胆囊结石,超声表现不典型,如泥沙样结石、充满型结石;或由于胆囊萎缩导致显示不清;伪像干扰;仪器调节不当等等; 误诊原因有:胆泥、胆汁粘稠、胆囊壁息肉、胆囊壁颈部褶皱、血凝块、胆囊内气体、药物性胆囊结石等; 如何提高超声诊断正确率?
0
人已投票
熟悉胆道系统超声解剖,包括胆囊和胆管的超声解剖;
正确认识上述提到的漏诊与误诊原因;
提高检查手法,能针对不同的胆道解剖结构,采用不同超声显示切面
超声造影
发布于 16-05-22 23:47
打开医联APP阅读全文
医联推荐你看
胆囊结石引起胆囊癌的几率有多大?
胆囊结石?
胆囊结石
共
0
个评论
暂无评论
发送
0