下载或打开 医联APP 查看完整评论
立即下载
打开APP
打开应用
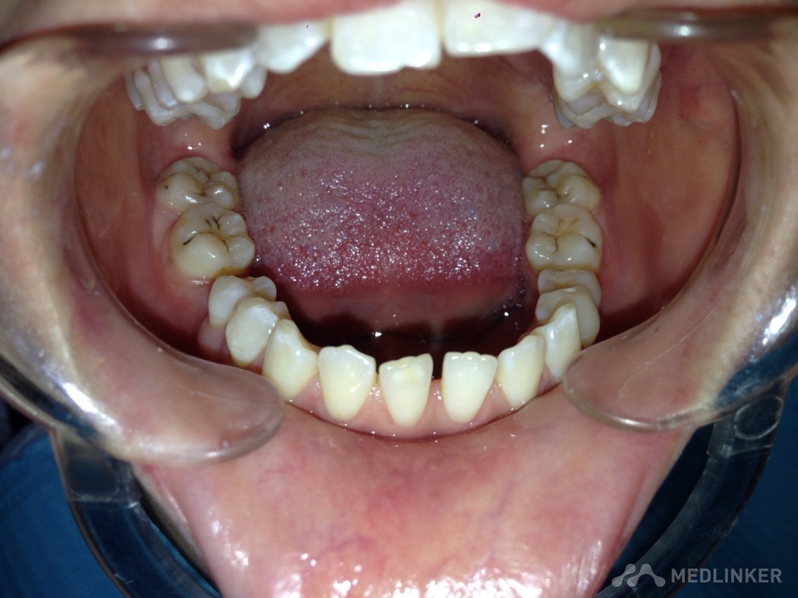
患者女,23岁,想做隐形无托槽矫正
兵瑞用户
兵瑞口腔
牙缺失
上颌前牙牙列拥挤,下颌前牙散在间隙,下颌双侧第一磨牙缺失多年,开合
发布于 16-03-14 23:34
打开医联APP阅读全文
医联推荐你看
无托槽隐形矫正的过程中怎样控制根的转矩?
舌侧矫治器还是隐形无托槽矫治器会成为未来的主流?
无托槽隐形矫治技术发展中的喜与忧
共
1
个评论
查看更多评论
发送
0