下载或打开 医联APP 查看完整评论
立即下载
打开APP
打开应用
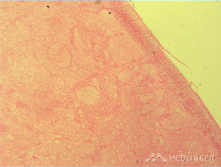
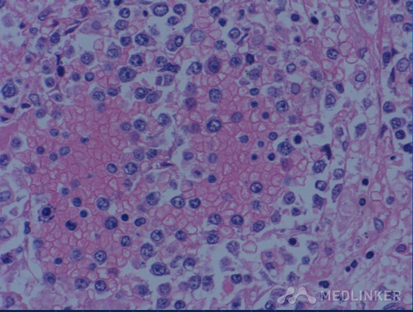
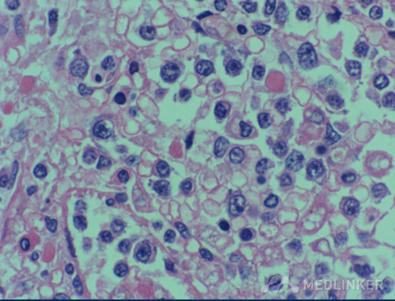
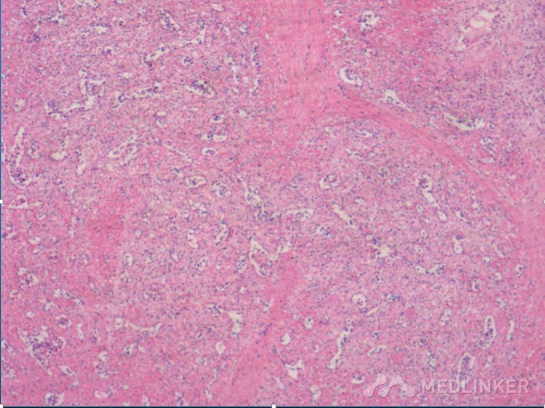
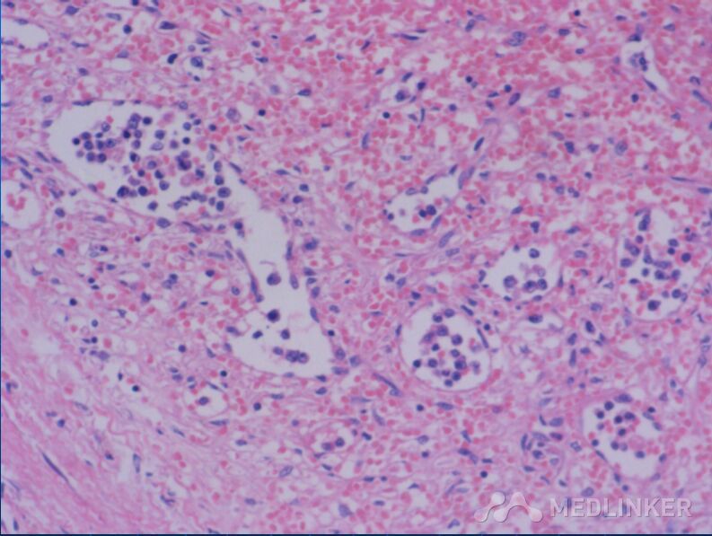
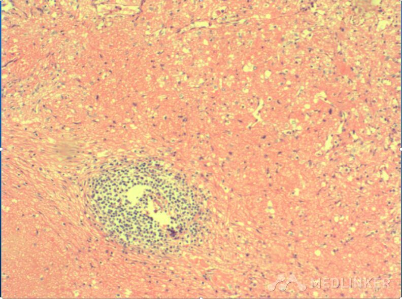
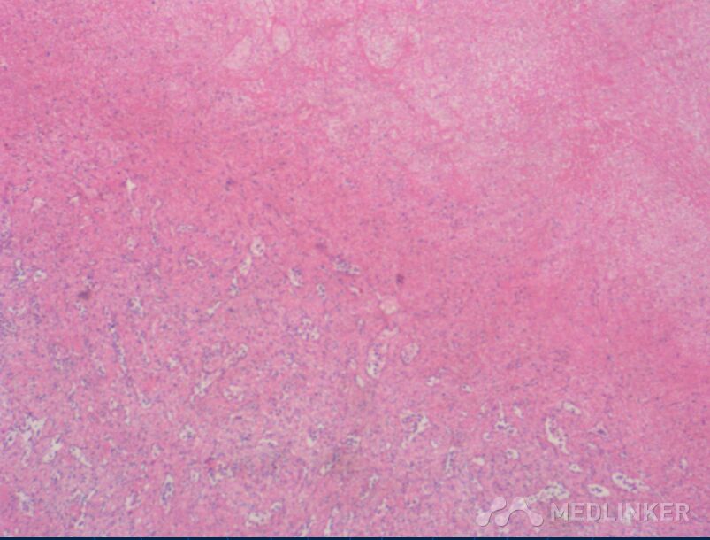
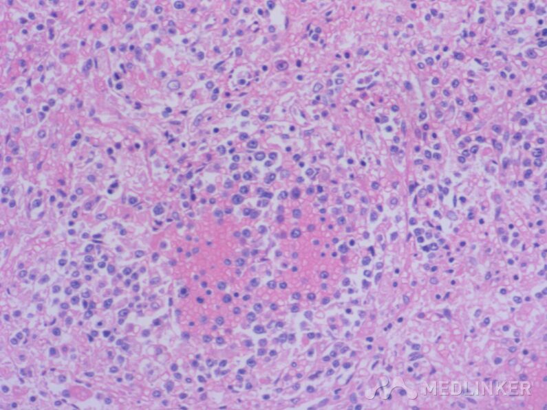
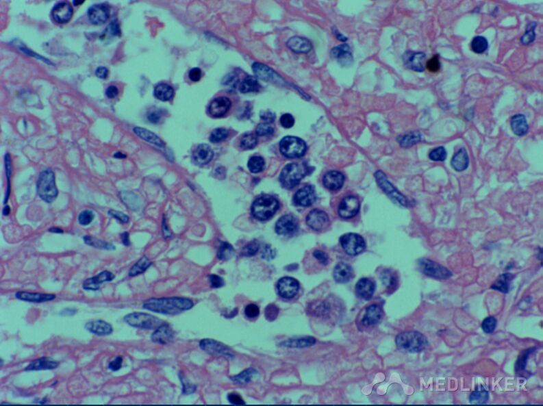
脾脏病理分析?
黄医师
厦门大学附属中山医院
老年男性,反复发热,发现脾大3个月就诊。
发布于 16-01-24 18:39
打开医联APP阅读全文
医联推荐你看
你见过脾脏妊娠吗?
脾脏易生什么瘤?
脾脏是机体最大的免疫器官
共
1
个评论
查看更多评论
发送
0