下载或打开 医联APP 查看完整评论
立即下载
打开APP
打开应用
请教一个神经外科的问题?
鞠医师
成都市新都区新繁中心卫生院
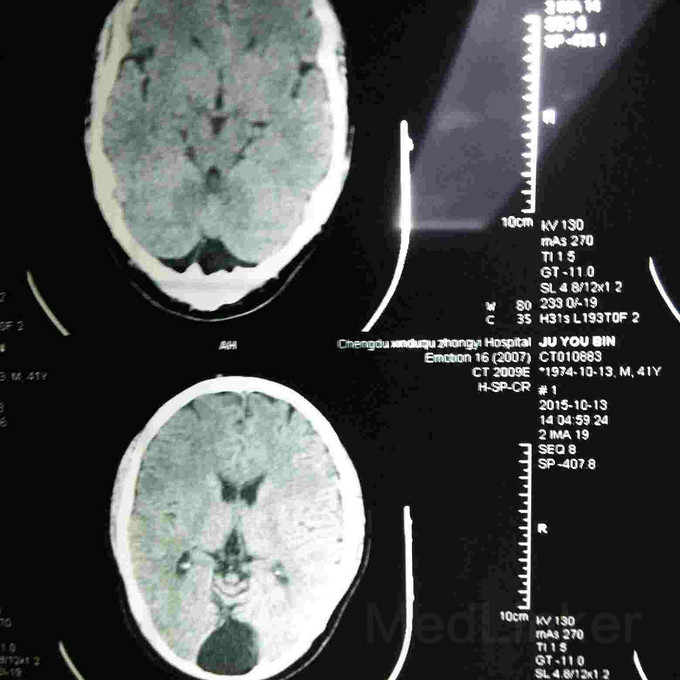
病患42、男性,近半年偶感轻度头胀,记忆力下降,作CT检查如下几图,报告单说是蛛网膜下腔囊肿,请问是这个病吗?目前需要注意什么问题?治疗有什么方法?
发布于 15-10-19 20:54
打开医联APP阅读全文
医联推荐你看
请教一个不育的问题?
请教一个急性心梗的问题?
神经外科信息
共
0
个评论
暂无评论
发送
0