下载或打开 医联APP 查看完整评论
立即下载
打开APP
打开应用
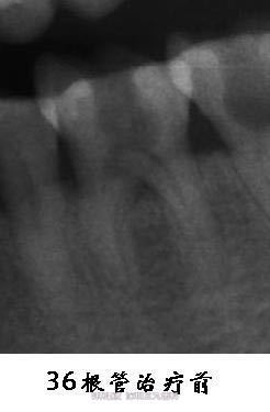
下颌磨牙侧枝根管一例
林医师
深圳三九齿科门诊部
主诉 病史
左下后牙外院拔髓后转我门诊治疗。
查体 辅查
36髓腔和根管空虚。
诊断 处理
处理:36根管治疗
发布于 16-01-09 22:32
医联推荐你看
侧枝根管治疗
下颌第一磨牙四根管病例
左上侧切牙侧枝根管一例
共
9
个评论
查看更多评论
发送
0