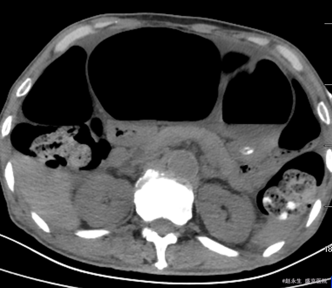
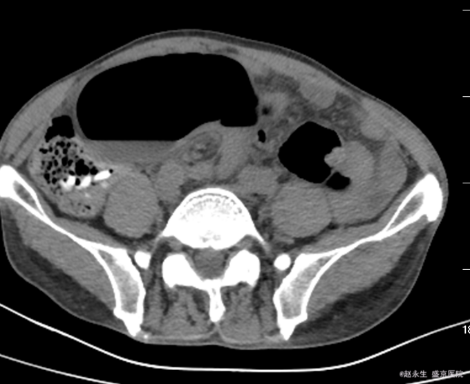
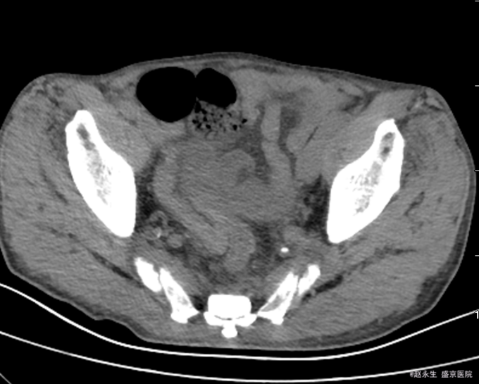
主诉:腹痛腹胀伴、停止排气排便5天 现病史:患者于5天前无明显诱因出现腹痛腹胀并逐渐加重,停止排气排便,就诊于当地医院诊断“肠梗阻”并给予胃肠减压等对症处理,腹痛略有缓解。1天前腹痛腹胀再次加重,呈阵发性绞痛,无发热寒战,无恶性呕吐,无咳嗽咳痰及呼吸困难,现患者为求进一步诊治来我院,急诊查腹部CT平扫提示:乙状结肠扭转,伴盆腔渗出,积液。急诊以“乙状结肠扭转”为诊断收入院。起病以来,患者精神食欲欠佳,睡眠一般,小便正常,体力体重未见明显改变
查体::腹膨隆,未见肠型及蠕动波,未触及明确包块,全腹压痛,反跳痛及肌紧张,肝区叩痛阴性,肾区叩痛阴性,Murphy征阴性。肝浊音界未见减少,移动性浊音阳性,未闻及肠鸣音。 辅助检查:急诊查腹部CT平扫提示:乙状结肠扭转,肠梗阻.盆腔多发渗出,积液.




诊断:乙状结肠扭转 治疗:急诊全麻下行剖腹探查,乙状结肠部分切除,远端闭锁,近端造瘘术。术中探查见左侧腹腔巨大肠畔,张力较高,肠壁因扩张导致菲薄,肠壁暗红有点状缺血坏死征象,有一处肠壁浆膜裂开,有少许出血,扩张肠管周围及盆腹腔有草黄色渗出,吸净渗出,轻轻将扩张肠管娩出腹壁外,证实扩张的肠管为乙状结肠,仔细检查,见乙状结肠系膜较长,肠管顺时针扭转360°形成完全性肠梗阻,横结肠,降结肠扩张,有较多内容物,未触及肿瘤,胃空虚。
随访:患者已痊愈出院,饮食及二便均可。 讨论:乙状结肠扭转可以呈顺时针或逆时针方向。扭转对肠管血循环的影响程度,主要决定于扭转的多少和松紧程度如扭转180°时,肠系膜血循环可无绞窄,仅位于乙状结肠壁后面的直肠受压而出现单纯性肠梗阻。扭转超过360°时,必将造成绞窄性闭襻性肠梗阻。肠腔内气、液体积增加,乙状结肠因扭转而过度膨胀,最初是静脉血流停止,充血、血栓形成再进一步加重循环障碍,动脉血流也将停止。扭转肠襻成为一个理想的厌氧环境数小时内厌氧菌和需氧菌可同时大量繁殖,使肠黏膜屏障功能受破坏,通透性增加肠道内细菌及其某些有毒物质一方面可漏入腹腔而吸收入血,另一方面可直接侵入门静脉系统,发生菌血症和毒血症严重者最终死于感染性和低血容量性混合性休克。对扭转复位后的肠管应仔细观察肠段的活力。切除的适应证是:A.肠管坏死,失去生机;B.扭转同时伴有其他器质性病变;C.复位后防止再复发。