打开应用

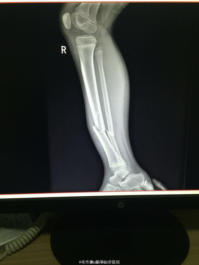
右胫腓骨中下段骨折

梁平用户   梁平仁济医院

主诉 病史

患者方瑜,女,7岁, 因“摔伤致右下肢疼痛、肿胀伴活动受限3h”入院。

查体 辅查

右下肢肿胀、畸形,局部压痛明显,可扪及骨擦感及骨擦音,轴向扣痛(+),有假关节活动,右足背动脉可扪及,肢体远端血供及感觉正常。 右下肢DR正侧位示:右胫腓骨中下段骨折。

诊断 处理

1、右胫腓骨中下段骨折(R)

随访 讨论

骨折移位明显,有手术指征,准备完善相关术前检查,若无特殊手术禁忌症,拟于近日行“右胫腓骨骨折切开复位内固定术”。

发布于 15-11-01 18:33

0 个评论

暂无评论
发送