打开应用

安氏二类,牙列拥挤

罗医师   四川大学华西口腔医院

主诉 病史

主诉:牙齿不齐

查体 辅查

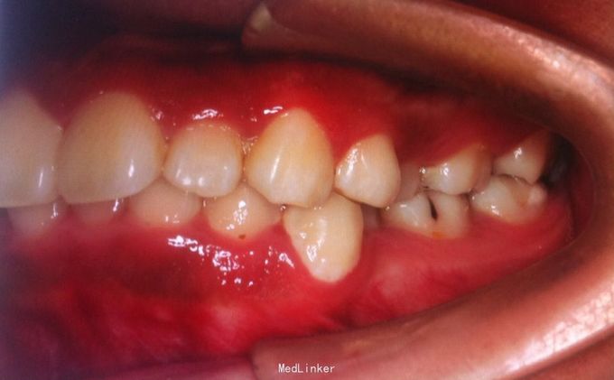
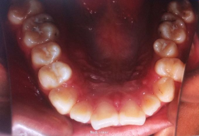
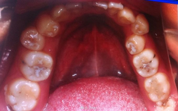
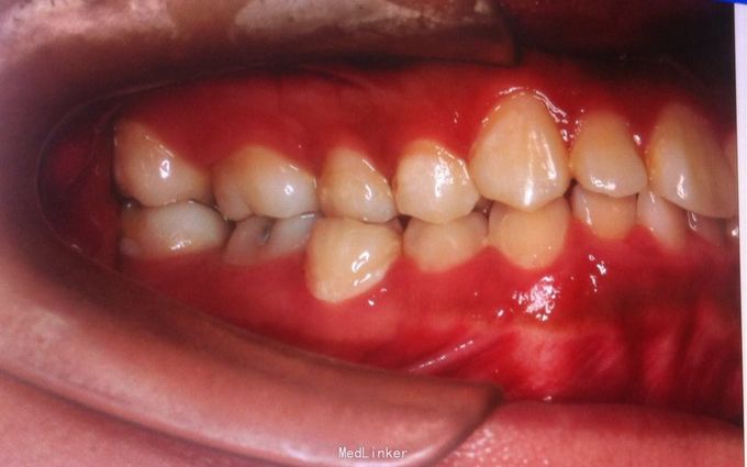
恒牙期 左侧磨牙中性关系,右侧远中关系 前牙三度深覆合 上合牙列中度拥挤,下颌重度拥挤 下颌中线偏右 关节有弹响

诊断 处理

安氏二类,牙列拥挤 拔牙矫治,拔除14、24、34、44,强支抗,排齐整平上下牙列,矫治后磨牙中性关系,前牙覆合覆盖正常,面型略改善

随访 讨论

1、治疗中可能需植入微种植体内收前牙 2、18、28、38、48存在,必要时建议拔除 3、正畸治疗后面型可能仍略突

发布于 15-10-27 21:50

4 个评论

发送