下载或打开 医联APP 查看完整评论
立即下载
打开APP
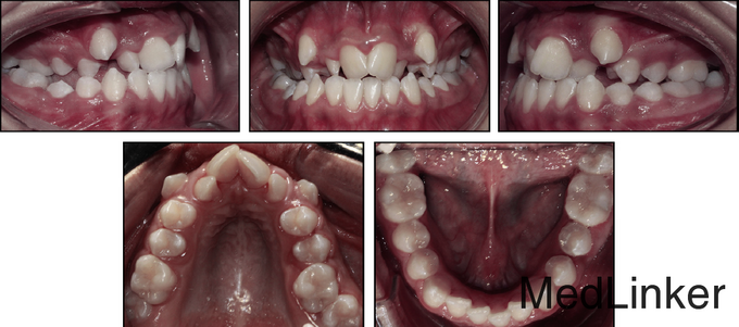
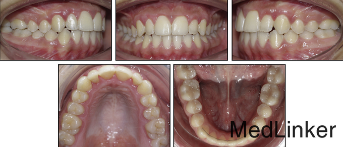
女,14岁,牙齿排列非常不整齐,微笑时牙弓特别狭窄,要求解决.小时候有鼻呼吸道的阻塞及过敏性鼻炎,可能是导致错合的病因。

直面型,上颌严重横向不调伴严重拥挤(拥挤度17mm),前牙及双侧后牙反合,下牙列重度拥挤,左侧磨牙I类,右侧磨牙II类关系,双侧尖牙II类关系。劲椎片可见其已过生长发育期


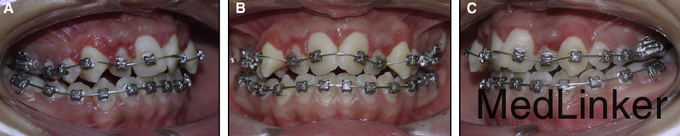
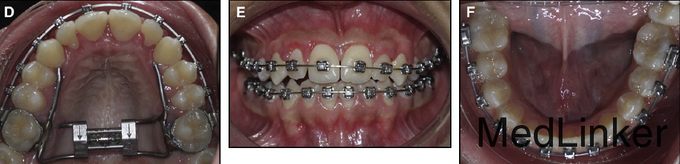
诊断:上牙弓严重横向不调。治疗:上颌颊侧骨皮质切开术+固定矫治+上颌腭侧固定扩弓。上颌上拖槽一周后行骨皮质切开术,如图,切开后全层翻瓣暴露骨皮质,于骨皮质上打孔,范围从牙槽骨顶端下方2mm到根尖下方2mm。根据牙槽厚度孔的深度从0.5mm到1.5mm不等,复位后间断缝合。同时腭侧粘接由带环,螺旋扩弓器制作的固定扩弓装置,即刻加力,转动完整的一圈。之后每周扩弓器打开1mm,连续8周,上颌牙弓被打开,扩弓器再维持2月,同时固定矫治器继续排齐整平。总疗程5个月2周。上颌宽度变化第一前磨牙间增加10mm,第二前磨牙间增加8.9mm,第一磨牙间增加8.3mm。但尖牙间宽度不变,这也是为什么扩弓后后期牙弓能够保持的原因,尖牙间宽度对维持牙弓稳定性非常重要。






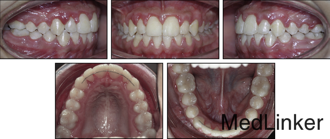
3年后复诊,如图,仍然稳定。快扩和慢扩用于生长发育的患者,还是比较成功的,对于骨龄已经成熟的孩子,外科手术辅助的扩速腭部扩开可能是治疗的选择,本病例中的骨皮质切开术可以作为外科手术的替代方法,诱发颊侧的牵张成骨效应,促进表面骨质的沉积。相比于腭部切开手术,降低了风险。(该病例摘自Am J Orthod Dentofacial Orthop 2015;148:138-53 doi: 10.1016/j.ajodo.2014.08.023.)
