下载或打开 医联APP 查看完整评论
立即下载
打开APP
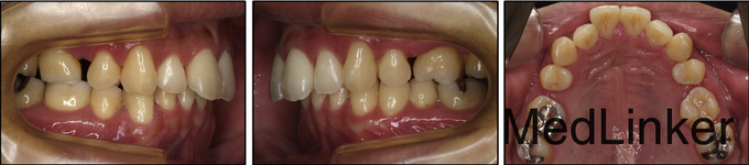
男,31岁,要求关闭牙弓内间隙

凸面型,骨性II类,青少年期拔除了3颗前磨牙但由于其他原因未继续矫正,深覆合,覆盖5.5mm,右侧磨牙I类,左侧磨牙II类关系,双侧尖牙II类

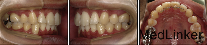
诊断:骨性II类,安氏II类,牙列间隙 治疗:上颌先上.022直丝拖槽,14niti排齐整平,依次换丝,为打开前牙咬合,16*22TMA弯制压低辅弓,如图。打开咬合后,粘接下颌拖槽,继续矫正。

压低辅弓不直接就位于前牙拖槽内,而是结扎在前牙段弓丝上,与前牙呈点状接触,属于单力偶力学系统,根据压低的部位不同可结扎在不同的牙位上达到选择性的压低,若压低前牙的话,可稍向后结扎如扎于23之间,可更接近前牙段阻力中心,减少其压低时唇倾的副作用。

