下载或打开 医联APP 查看完整评论
立即下载
打开APP
打开应用
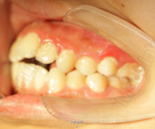
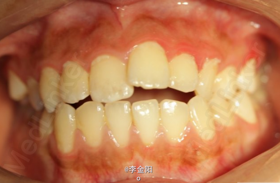
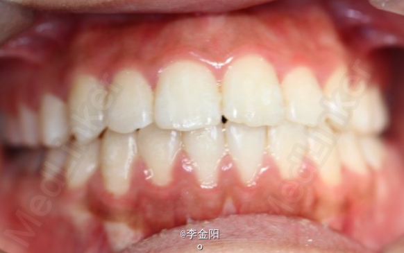
一例应用普通金属直丝弓矫治器完成的患者
徐医师
西南医科大学附属医院
主诉 病史
牙列不齐求矫
查体 辅查
诊断 处理
发布于 15-06-19 21:26
医联推荐你看
辅弓套推簧与镍钛圆丝联合应用矫治
利用顺其矫治器矫治骨性II类病人一例
直丝弓矫治技术治疗安氏|||类患者一例
共
1
个评论
查看更多评论
发送
0