打开应用

隐形矫治

联友助教   

主诉 病史

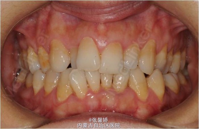
牙齿排列不整齐,要求矫治

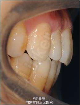
查体 辅查

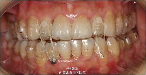
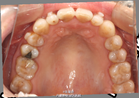
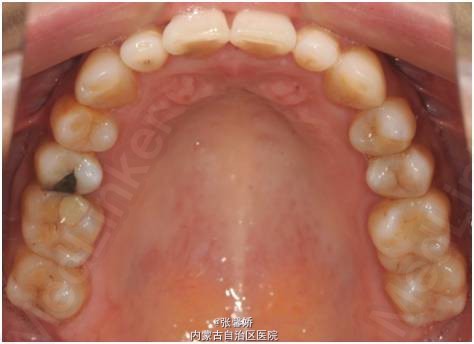
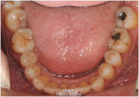
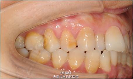
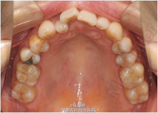
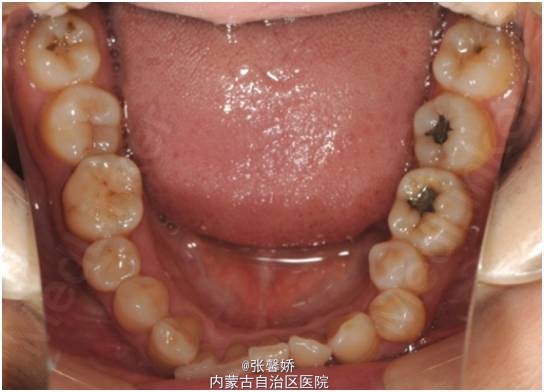
上中线右偏1mm,A2、D4反合,A2、B2畸形牙偏小,拥挤度上颌4mm、下颌6mm。Spee曲线:左侧3mm,右侧2.5mm

诊断 处理

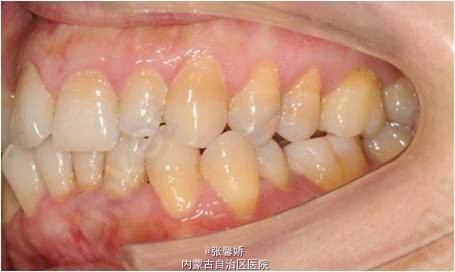
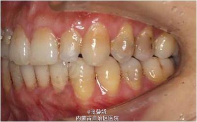
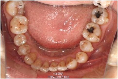
牙列中度拥挤;A2、D4反合 处理:时代天使隐形矫治器矫治 拔除C8、D8 适当下前牙邻面去釉 排齐整平上下牙列,改正A2、D4反合 治疗时间2年左右,矫治后牙齿排列整齐,咬合关系良好,患者满意。

随访 讨论

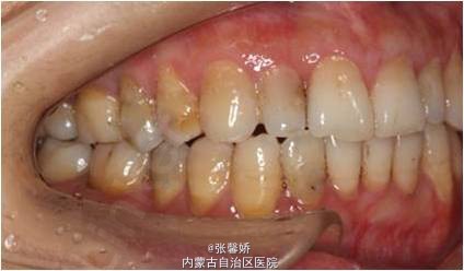
一年后随访,患者咬合关系仍稳定,尖窝锁结良好。 隐形矫治适应证的选择很重要,适合中低难度的成人病例,患者的配合和依从性要求较高。 此患者术前全景片可见多个充填物,为龋易感患者,而且牙周也不是很好,隐形矫治没有拖槽更利于患者口腔卫生的维护,防止龋病的发生和牙周病的加重。

发布于 15-06-15 19:16

4 个评论

发送