下载或打开 医联APP 查看完整评论
立即下载
打开APP
女性,42岁,”发现盆腔包块2年”,无腹痛,无异常阴道流血;自述10年前曾因“盆腔炎” 在外院手术治疗,切除一侧附件,具体不详,有子宫肌瘤病史。
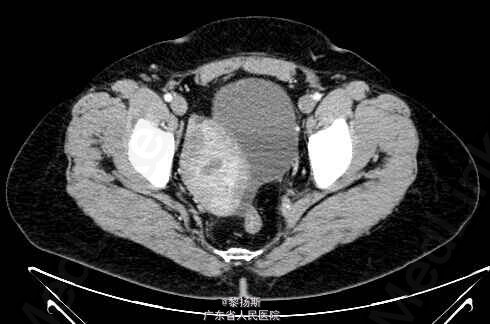
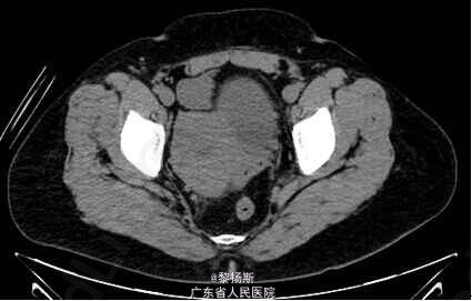
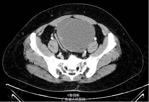
查体:生命体征平稳。腹部可触及包块。影像学:左侧附件区见一囊实性占位,边界清晰,囊性成分较多,增强内可见分隔,囊壁强化明显,并可见强化壁结节。实性成分强化明显。盆腔未见明显肿大淋巴结,未见明显积液。鉴别诊断:卵巢浆液性囊腺癌:也表现为附件囊实性包块,可见分隔,亦可见强化壁结节,鉴别诊断欠困难,有文献称CA125较透明细胞癌升高。病理示:左侧卵巢透明细胞癌。



诊断:左侧卵巢透明细胞癌
原发性卵巢肿瘤分为三种类型,既上皮肿瘤、性索间质肿瘤、生殖细胞肿瘤,卵巢上皮肿瘤依据上皮细胞的类型又分为浆液性癌、粘液性癌、子宫内膜样癌及透明细胞癌。卵巢透明细胞癌是一种起源于苗勒管的卵巢上皮恶性肿瘤,约占卵巢上皮癌的5%,恶性程度高。多发生于成年女性,几乎所有患者诊断时年龄均为25岁以上,临床表现以腹部肿块最常见。透明细胞癌影像上以囊实性肿块多见,并以囊性部分为主,内可见分隔,并可见强化壁结节。实性部分表现为腔内突起,形态不一,乳头或息肉状,部分呈类圆形。肿瘤血供丰富,动脉期明显强化,静脉期及平衡期仍持续强化。难与浆液性囊腺癌鉴别。有文献报导,与浆液性囊腺癌比较,卵巢透明细胞癌具有不同的临床及分子生物学特点:①术前血清CA125值较低,腹腔积液出现几率少,术后残余肿瘤较小。②肿瘤单侧发生,乳头状突起呈分级分支模式。③合并子宫内膜异位症,尽管不特异,也应考虑该肿瘤可能。④免疫组化:Wilms瘤I基因(WT1)和雌激素受体(ER)表达多呈阴性。术前诊断比较困难,确诊主要依靠病理学检查。